Что такое болезнь Пертеса?
Болезнь Пертеса (Легга-Кальве-Пертеса) — это патология, при которой нарушается кровоснабжение головки бедренной кости, что приводит к ее некрозу (отмиранию) и разрушению. Чаще всего болезнь встречается у собак карликовых и мелких пород (той-терьеры, йорки, шпицы, чихуахуа, таксы, карликовый пудель), но может наблюдаться и у кошек.

Причины заболевания
Точная причина болезни Пертеса до конца не изучена, но выделяют несколько возможных факторов:
- Травмы (повреждения тазобедренного сустава в раннем возрасте).
- Нарушение кровоснабжения сустава в период роста.

Симптомы болезни Пертеса
Заболевание развивается постепенно, и первые признаки могут проявляться у щенков в возрасте 4–6 месяцев. Основные симптомы:
– Хромота на заднюю лапу (иногда на обе) и снижение активности, нежелание бегать и прыгать.
– Атрофия мышц на пораженной конечности, болезненность при разгибании сустава.
В запущенных случаях – укорочение конечности.
(из практики Максима Александровича Кардаша)
Диагностика
Для постановки диагноза проводятся:
- Ортопедический осмотр (проверка подвижности сустава).
(из практики Максима Александровича Кардаша)
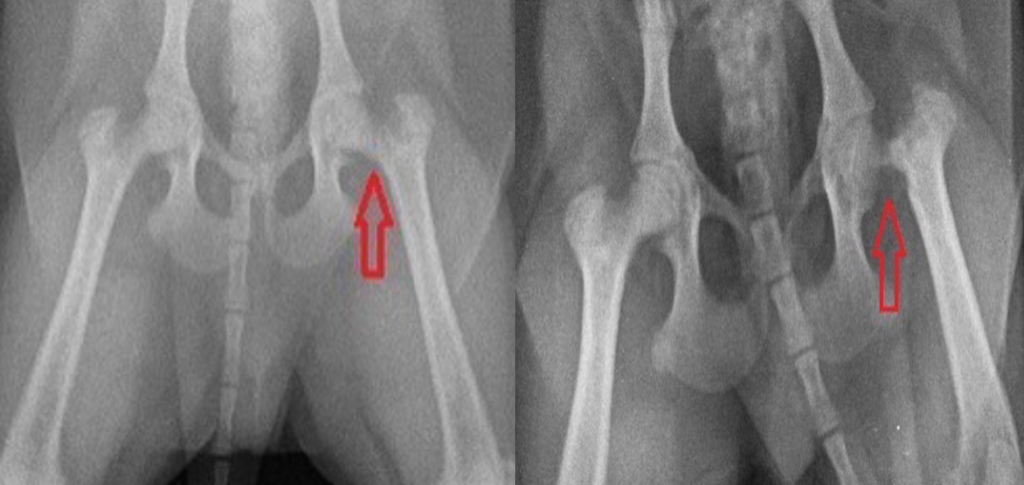
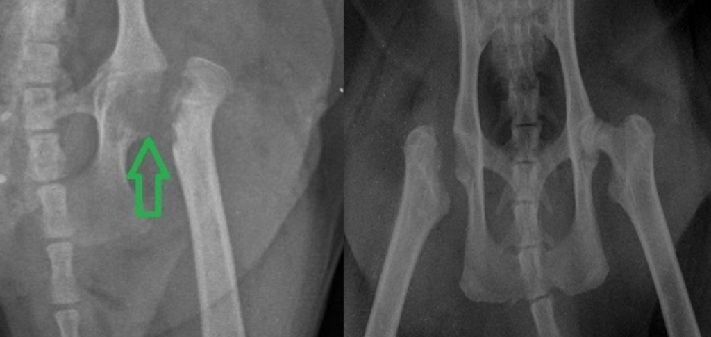
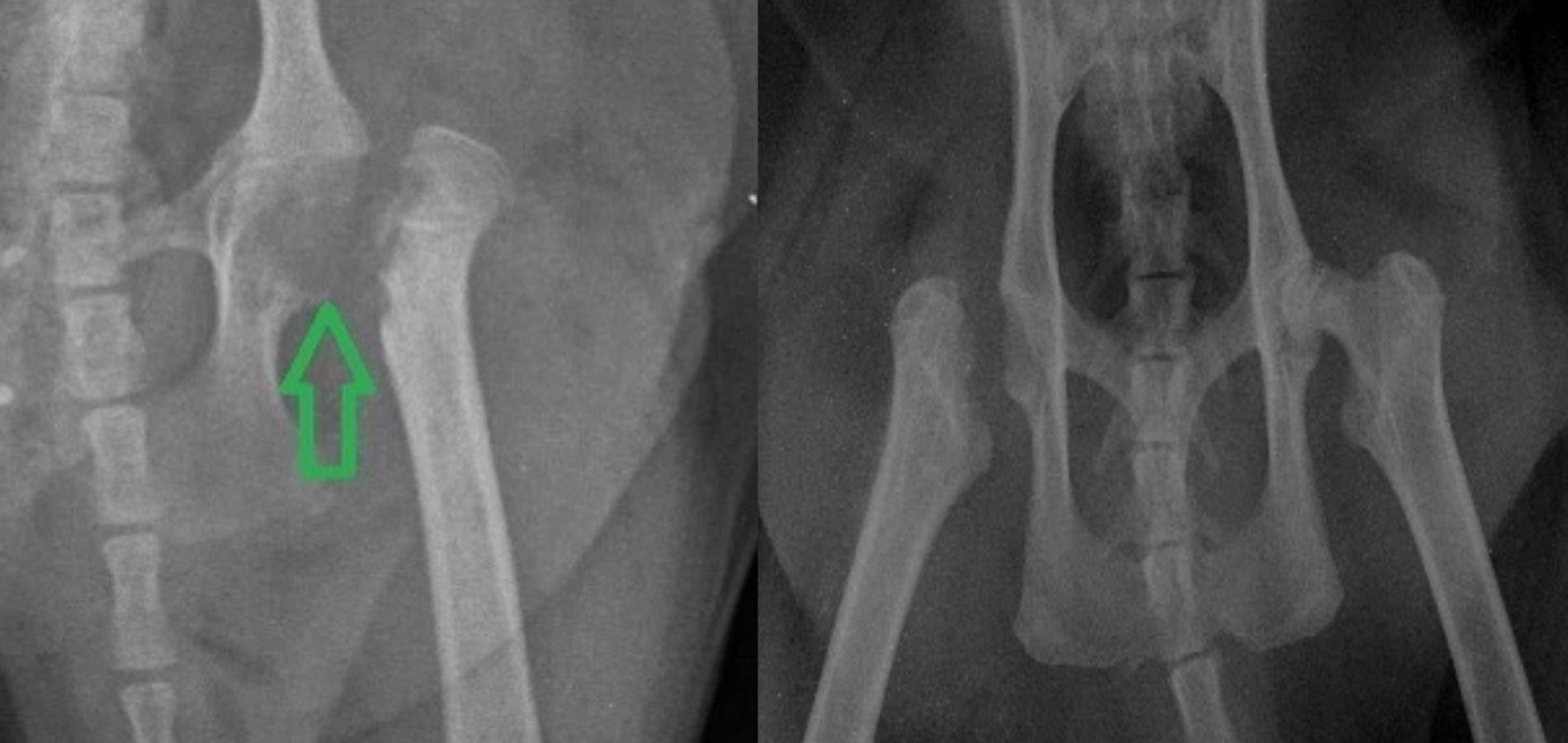
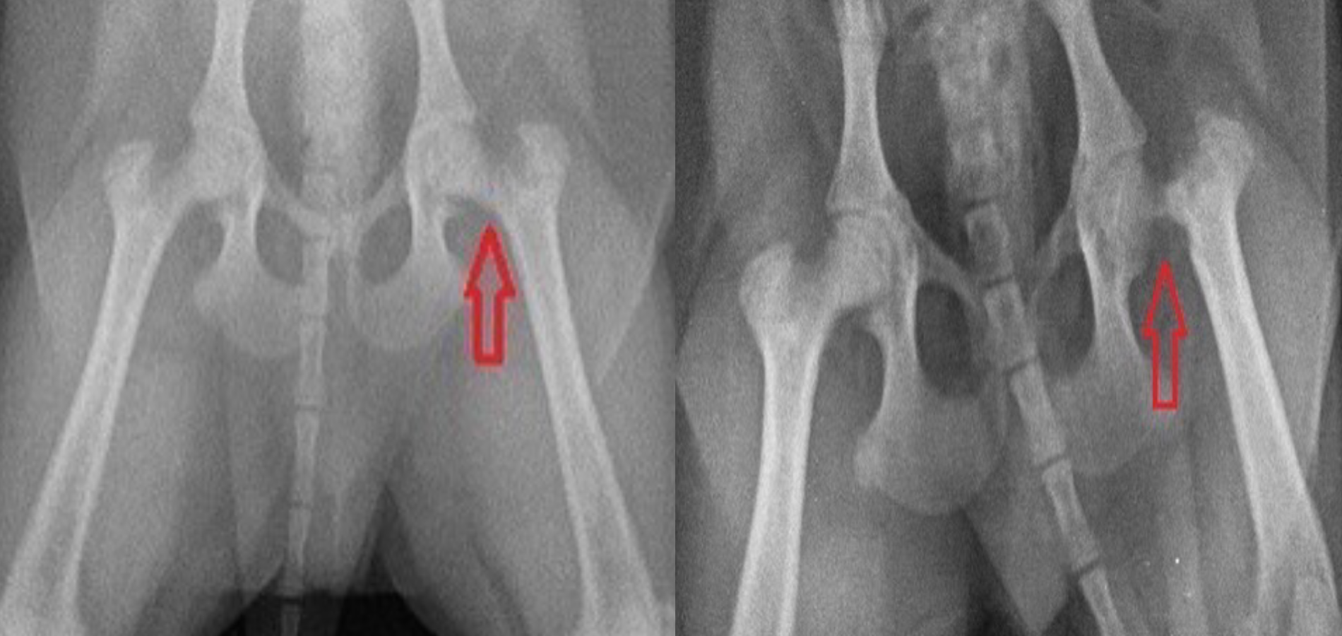
- Рентген тазобедренного сустава (на снимке заметны изменения формы головки бедра).
(из практики Максима Александровича Кардаша)
Лечение
1. Консервативное лечение (при легкой форме)
Если поражение незначительное или есть прямые противопоказания для анестезии, применяют:
- Противовоспалительные препараты.
- Физиотерапию.
- Ограничение нагрузок.
2. Хирургическое лечение (основной метод)
В большинстве случаев требуется операция:
- Резекционная артропластика – удаление поврежденной головки бедра.
(из практики Максима Александровича Кардаша)
Прогноз
После хирургического лечения большинство животных полностью восстанавливаются и ведут нормальный образ жизни. Консервативное лечение помогает только при раннем выявлении болезни. Болезнь Пертеса – серьезное заболевание, но при своевременной диагностике и правильном лечении животное может жить полноценной жизнью!











Отправить комментарий
Отправьте первый комментарий!