Политравма у мелких домашних животных – это тяжёлое и жизнеугрожающее состояние, при котором в результате травмы одновременно повреждается две и более анатомических области. Чаще такое происходит после ДТП, падения животных с высоты, укусов другими животными и сильных ударов, сочетание механической травмы с воздействием температур и прочее.
Данное состояние требует немедленной диагностики и интенсивной терапии в условиях ветеринарной клиники. Лечение в домашних условиях и мысли « пройдёт само» могут стоить питомцу жизни.
Что такое политравма?
Политравма представляет собой повреждение различных систем организма: переломы и вывихи, травмы грудной клетки и лёгких, органов брюшной полости, ушиб и сдавление головного мозга и так далее. Даже если у питомца нет визуально выраженных травм и повреждений, это не означает, что внутренние повреждения отсутствуют.
Для объективной диагностики требуется основные методы диагностики: внешний осмотр, пальпация, аускультация и дополнительные методы диагностики: УЗИ обзорное грудной и брюшной полостей, УЗИ органов брюшной полости, рентгенологические и лабораторные исследования, компьютерная томография, в редких случаях МРТ.
Чем опасна политравма?
Повреждения усугубляют друг друга, делая состояние тяжелее, чем при отдельных травмах. Разрывы печени, селезенки, контузия легких – приводят к быстрому развитию травматического (болевого) шока, массивной кровопотере и летальному исходу.
Животные, особенно кошки, могут выглядеть относительно стабильными и нормальными внешне, даже при наличии смертельных внутренних повреждений. Это состояние называется скрытый (компенсированный) шок – состояние с критическим снижением жидкости в тканях и органах, при котором защитные системы организма какое-то время поддерживают нормальное АД и пульс, хотя состояние без неотложной помощи ведет к быстрой гибели питомца.
(Переломы у котов после падения с высоты)
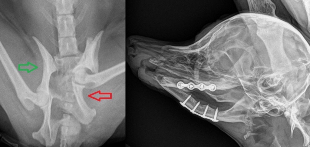
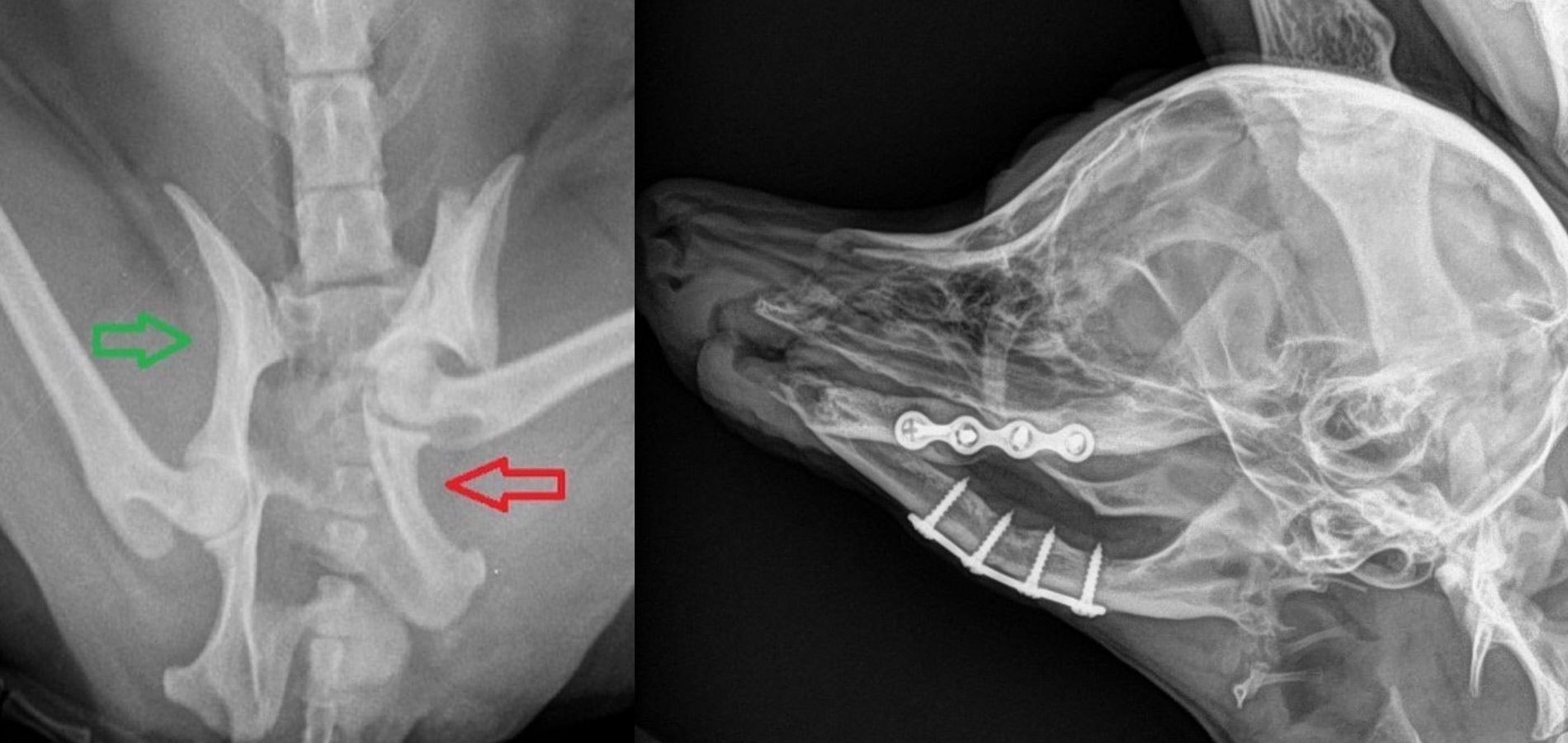
(Переломы таза и челюсти у собак после автотравмы)
Как уберечь своего питомца от политравмы
Кошки
Чаще всего кошки получают политравму при падении с большой высоты (деревьев, многоэтажных домов).
Поэтому рекомендуется не оставлять окна на проветривание без присмотра, ставить на окна специальные сетки «Антикошка», не выпускать питомца на балконы открытого типа.
Собаки
У собак это чаще всего происходит из-за ДТП или драки с другими животными. Лучше всего приучить собаку к выгулу в ошейнике или шлейке, так же приучить к ношению намордника, контролировать контакт с другими животными. Если выгул производиться на частной территории или специально ограждённых местах, лучше всего обеспечить безопасную среду для выгула своего питомца.
Действия владельца при возникновении политравмы
Главное не паниковать и начать оказывать первую помощь своему питомцу.
1. Вам необходимо визуально его осмотреть. Выяснить, в сознании ли он, отзывается ли на кличку. 
2. При обнаружении сильного кровотечения требуется наложить тугую чистую повязку и сделать холодный компресс ( если это представляется возможным ).
3. При видимых переломах и травме конечностей лучший выбор это ограничить подвижность этой конечности.
4. Если у вас есть подозрение на травму позвоночника требуется положить питомца на твёрдую поверхность на бок, ограничить подвижность.
5. Срочно ехать в ветеринарную клинику (по возможности позвонить в клинику и предупредить персонал, что питомец в тяжелом состоянии, чтобы сотрудники клиники заранее подготовили всё необходимое для оказания экстренной помощи).
Что нельзя делать владельцу при политавме у питомца
1. Давать обезболивающие человеческие препараты.
2. Пытаться самостоятельно вправлять переломы.
3. Поить и кормить животное.
4. Самостоятельно извлекать инородные предметы из ран.
Как проходит лечение в ветеринарной клинике при политравме
При поступлении пациента с политравмой проводится оценка состояния и экстренная стабилизация жизненно важных функций, при необходимости проводят экстренное оперативное вмешательство.
При необходимости пациента помещаю в отделение реанимации и интенсивной терапии, чтобы пациент был под постоянным мониторингом врачей.
Прогноз
Прогноз при политравме индивидуален и зависит от множества факторов:
времени обращения в клинику, скорости начала оказания помощи. От характера и объёма повреждений. От возраста пациента и наличия сопутствующих заболеваний.
Политравма – это состояние, при котором важна каждая минута!








Отправить комментарий
Отправьте первый комментарий!