Эндокардиоз (миксоматозная дегенерация митрального клапана, МДМК) – самая распространенная патология сердца у мелких домашних животных. Это хроническое заболевание клапанов сердца, при котором они утолщаются, теряют эластичность и не смыкаются плотно, что приводит к регургитации (обратному забросу крови) и развитию хронической сердечной недостаточности (ХСН), чаще застойной.
Как развивается эндокардиоз
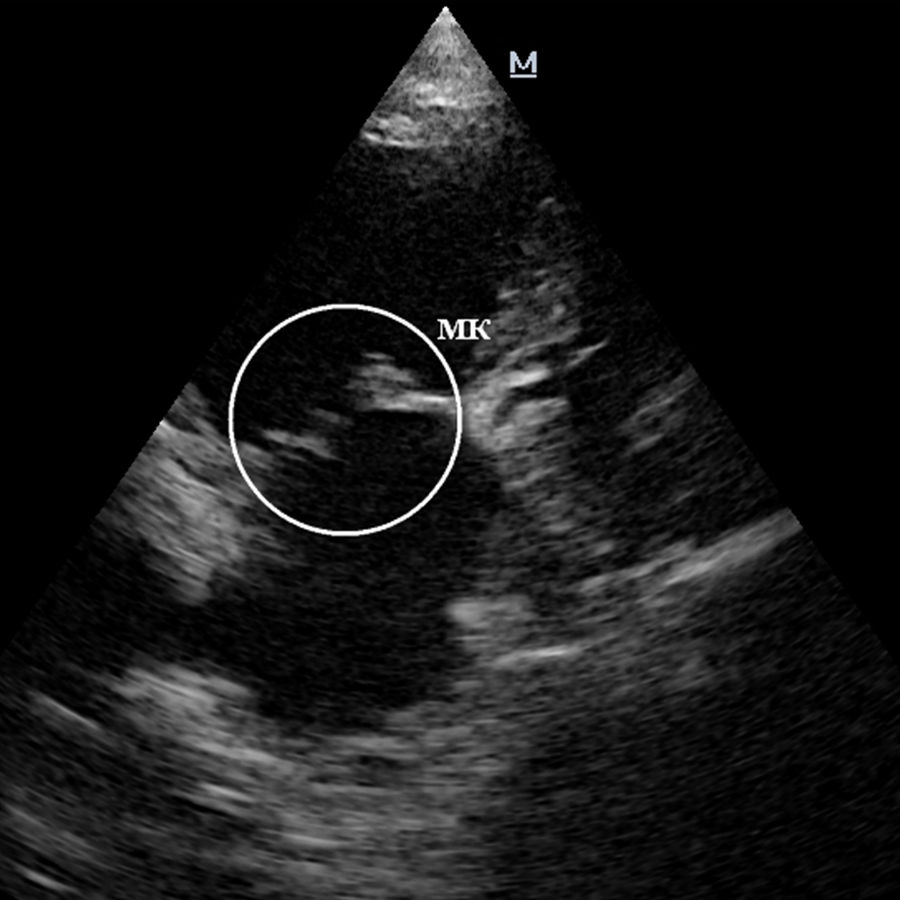
Митральный клапан расположен между левым желудочком и предсердием. Его функция – при сокращении сердца смыкаться и препятствовать обратному току крови. С возрастом створки митрального клапана утолщаются и деформируются, перестают плотно закрываться в момент сокращения сердца и начинают пропускать кровь, в результате чего возникает обратный ток крови в предсердие. Часть ударного объема крови во время систолы попадает обратно в левое предсердие, а сердечный выброс крови в аорту снижается. При длительном течении болезни левое предсердие растягивается и в нем повышается давление. Какое-то время сердечная мышца может компенсировать это процесс, но в дальнейшем начинается рост давления и в левом желудочке и он тоже растягивается. Следствием повышенного давления в левом предсердии является повышение давления в легочных венах, что приводит к левосторонней сердечной недостаточности. Итог описанных процессов – развитие застоя крови в малом круге кровообращения и отек легких. На последних стадиях развития болезни может пострадать и правая половина сердца. В дальнейшем это приведет к легочной гипертензии, либо к скоплению жидкости в брюшной полости (асциту).
Болеют только собаки мелких и средних пород, как правило, начиная со второй половины жизни. У кошек данная патология встречается крайне редко. 
Причины эндокардиоза: наследственная и породная проблема.
Симптомы: на ранних этапах эндокардиоз протекает бессимптомно, могут быть крайне редкие покашливания. Обнаруживается неожиданно во время аускультации (характерный шум) на приемах у врачей или плановой вакцинации, а также на предоперационной диагностике.
При застойных явлениях в малом (легочном) круге кровообращения выражены следующие симптомы:
• Кашель – обычно первый симптом эндокардиоза митрального клапана у собак, который обнаруживает владелец. Кашель развивается вследствие того, что расширенное вследствие сердечной недостаточности левое предсердие давит на бронх.
• Одышка – повышенное давление в сосудах малого круга приводит к выходу жидкости в ткани легких (отеку), что мешает газообмену и затрудняет дыхание.
• Обмороки и непереносимость нагрузок – к этому приводят значительный застой крови в легких и значительное снижение сердечного выброса.
• Увеличение в размере живота, асцит – развиваются при выраженном застое крови в большом круге кровообращения и, в особенности в воротной системе печени. Жидкая часть крови начинает выпотевать через стенки сосудов в брюшную полость и может скапливаться там в значительном количестве.
• Аппетит – до последних стадий заболевания у собак сохраняется нормальный аппетит.
• Потребление воды – часто при сердечной недостаточности собаки начинают больше пить. Ограничение потребления жидкости при этом не требуется.
Диагностика
Окончательный диагноз ставится на основании ультразвукового исследования сердца (ЭХО КГ).
Лечение
Эндокардиоза митрального клапана у собак зависит от стадии заболевания и должно назначаться врачом-кардиологом.
На данный момент, мы не можем никак напрямую воздействовать на пораженный клапан.
Лечение симптоматическое и направлено на то, чтобы снизить нагрузку на сердце и застойные явления в кругах кровообращения.
Основные группы применяемых препаратов – ингибиторы ангиотензинпревращающего фермента, диуретики, кардиотоники, антиаритмические препараты при необходимости.
Прогноз
Несмотря на то, что полностью излечить заболевание мы не можем, при начале лечения на ранних стадиях собаки живут долгие годы.
При начале лечения на поздних стадиях, тяжелой застойной сердечной недостаточности, обмороках, одышке — прогноз при эндокардиозе гораздо хуже. В среднем, такие животные живут около 8-14 месяцев.
Основные меры профилактики и контроля
Регулярные обследования: ежегодное посещение кардиолога с проведением ЭХО КГ для собак из групп риска (мелкие и средние породы) после 7 лет.
Контроль веса, так как ожирение создает повышенную нагрузку на сердце, ускоряя дегенерацию клапанов.
Снижение нагрузок: избегание интенсивных тренировок, прыжков и длительного бега при обнаружении шумов в сердце.
Сотрудничество врача и владельца: если диагноз установлен, важно строго выполнять рекомендации кардиолога.







Отправить комментарий
Отправьте первый комментарий!