Гипертрофическая кардиомиопатия (ГКМП) – генетическое заболевание, характеризующееся увеличением левого предсердия и гипертрофией (утолщением) стенок левого желудочка, что уменьшает его объем и нарушает перекачку крови. Чаще страдают коты, крайне редко собаки.
Патофизиология
Со временем миокард котов с ГКМП становится толще и пропитывается соединительнотканными элементами, механизм напоминает «формирование рубца».
Происходит изменение структуры миокарда:
1. Пораженный миокард левого желудочка теряет эластичность и растяжимость, это приводит к снижению наполняемости сердца в период расслабления, ослабевает насосная функция.
2. Изменение работы левого желудочка приводит к задержке крови в левом предсердии, нарушении функции митрального клапана, затем происходит растяжение левого предсердия и повышение давления в нем, уменьшается приток крови от легочной ткани.
3. Утолщенная межжелудочковая перегородка может приводить к обструкции выводящего тракта левого желудочка
4. Правые отделы сердца усиленно наполняют легочные сосуды кровью, однако измененные левые отделы, не могут обработать поступающий объем, происходит отек легких, гидроторакс или гидроперикард.
5. Замедленный кровоток в перегруженном объемом предсердии может привести к образованию тромбов и последующей тромбоэмболии (частое осложнение).
Породная предрасположенность
- мейн-куны,
- сфинксы,
- британцы,
- шотландские,
- норвежские лесные,
- рэгдолы,
- но болеют и метисы.
Данная болезнь наиболее распространены среди кошек юного и среднего возраста (1-6 лет), реже во второй половине жизни. Чаще выявляется в возрасте 2-4 лет. Самцы страдают ГКМП чаще самок.
Гипертрофическая кардиомиопатия – генетическая проблема, связанная с мутациями ДНК саркомерных белков.
Большинство кошек с ГКМП имеют субклиническое течение болезни. Хроническая сердечная недостаточность является наиболее частой причиной возникновения клинических признаков у кошек с ГКМП, на втором месте стоит тромбоэмболия.
Симптомы
- Одышка (особенно во сне).
- Вялость.
- Апатия.
- Тяжелое дыхание.
- Иногда тромбоэмболии (отказ конечностей), как осложнение.
Может быть: отек легких, гидроторакс (выпот в грудную полость) и гидроперикард (выпот в перикард). В отличие от собак, коты при сердечной недостаточности не кашляют.
В редких случаях ГКМП может быть обратимым процессом, возникающим в результате инфузионной терапии, анестезии, введении кортикостероидов.
Диагностика
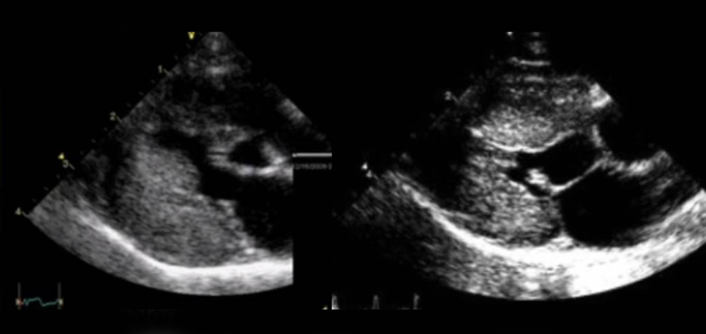
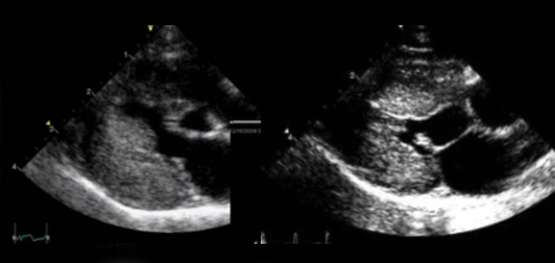
Окончательный диагноз ставится на основании ультразвукового исследования сердца (ЭХО КГ).
Лечение
Симптоматическое , которое направлено на улучшение качества жизни и уменьшении проявления симптомов. Лечение назначается ветеринарным врачом-кардиологом в соответствии с данными физикального обследования, ЭХО КГ, клинических признаков и общего состояния пациента. Активно используют петлевые диуретики, ингибиторы АПФ, антикоагулянты в профилактической дозе. Хозяевам рекомендуется считать частоту дыхательных движений (вдох-выдох) в минуту ( желательно получать цифру до 30).
Прогноз
У котов с бессимптомной формой возможно отсутствие осложнений. Коты с признаками застоя в среднем живут от года до трех, но индивидуальная продолжительности жизни от нескольких месяцев до 4 лет. Неблагоприятный прогноз у котов с осложнениями в виде тромбоэмболий (отказ конечностей) и выгорающей формой ГКМП, такие пациенты живут в среднем до 6 месяцев.
Профилактика ГКМП
1. Ежегодный контроль ЭХО КГ.
2. Генетические тесты.
3. Предрасположенные породы должны проходить регулярный контроль у кардиолога.
4. Сбалансированное питание.
5. Снижение стресса.
6. Периодически контролировать частоту дыхательных движений.







Отправить комментарий
Отправьте первый комментарий!