Расслаивающий остеохондрит у собак — заболевание, которое обусловлено дегенеративными изменениями костной и хрящевой тканей, приводящих к расслаиванию и отрыву участков хряща от костной основы. Расслаивающий остеохондрит (РОХ) чаще всего наблюдается у щенков крупных и гигантских пород собак.
Причины расслаивающего остеохондрита у собак:
быстрый рост хрящевой ткани или нарушение кровоснабжения в определенном участке, что ведет к разрушению глубокого слоя, “предназначенного” для окостенения, приводит к чрезмерному утолщению хряща, который в результате покрывается трещинами. Во время роста животного, а также из-за его активности, трещины увеличиваются, фрагмент суставной поверхности отделяется от кости и свободно располагается в суставе, что приводит к воспалению.
Породы собак предрасположенные к данному заболеванию: Бернский зенненхунд, Немецкий дог, Ротвейлер, Лабрадор, Кане-корсо и др.
Симптомы и диагностика
Заболевание проявляется в возрасте с 4-х месяцев до 2-х лет. Владельцы отмечают хромоту после активных игр или физических нагрузок. Иногда речь идет о постоянной хромоте на одну или обе лапы, собака, страдающая РОХ, может быть менее активной.
Во время осмотра врач должен обратить внимание на оба сустава — пораженный сустав часто может быть увеличенным в объеме. Кроме того, если заболевание находится не в начальной стадии, при осмотре порой обнаруживается атрофия мышц пораженной конечности.
Диагностика расслаивающего остеохондрита у собак заключается в проведении рентгенологического исследования (в нескольких проекциях). В некоторых случаях рекомендуется проведение артроскопии. При помощи этого метода можно точно поставить диагноз, дать оценку состоянию сустава и даже провести хирургическое лечение патологии.
Пример из практики Кардаш М.А.
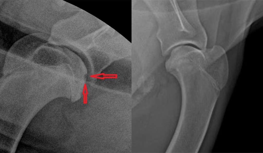
В норме поверхность головки плечевой кости без видимых прободений, эрозий и имеет ровную поверхность – отмечено зеленой линией.
При проявлении РОХ отмечается прободение (ямка) по месту отслоения хряща, что приводит к снижению его плотности на фоне нарушения сосудистого питания и визуализируется на рентген снимке как ямка – отмечено красной линией.
Лечение
Консервативная терапия обеспечивает лишь краткосрочный эффект на начальных стадиях заболевания и чревата последствиями для пациента — атрофия мышц, развитие остеоартрита.
Основное лечение заключается в хирургическом вмешательстве. Операция предполагает удаление отслоенного хрящевого фрагмента, который не рассосётся сам по себе. Без этого удаления хромота и разрушение сустава будут продолжаться. Каждый может представить себе ситуацию, когда камушек попадает под пятку обуви: пока его не уберёшь, облегчения не будет. Так же обстоит дело и с разрывом околосуставной хрящевой ткани.
Существует два метода хирургического вмешательства: артроскопия и артротомия.
Артроскопия – малоинвазивный метод, который применяется в случаях небольших и неглубоких дефектов хряща. Этот метод позволяет минимизировать травмы окружающих тканей и ускоряет восстановление пациента.
Артротомия – это процедура, при которой полость сустава раскрывается через небольшой разрез размером 2-4 см. Ее используют при наличии крупных дефектов и глубоких поражений хряща. Артротомия проводится чаще благодаря своей способности обеспечить тщательную санацию сустава и удаление всей патологической ткани, что является важным этапом в восстановлении полноценной функции сустава.
Пример из практики Кардаш М.А.: как выглядит отслоившийся хрящ во время операции.
Прогноз
При своевременном обращении и вовремя проведенном хирургическом вмешательстве прогноз хороший.
В нашей клинике было проведено немало таких операций, что позволило сохранить здоровье суставов огромному числу пациентов и значительно улучшить их качество жизни. Благодаря этим вмешательствам удалось исключить боль и хромоту, вернув пациентам радость движения и активный образ жизни.
Видео пациента, снятое через сутки после операции по удалению РОХ на обоих плечевых суставах
Видеоистория одного пациента с диагнозом РОХ.












Отправить комментарий
Отправьте первый комментарий!